Author’s note: I apologize in advance for any strange formatting, typos, etc. I’m publishing this from my iPad and it is a little less robust than working on the computer.
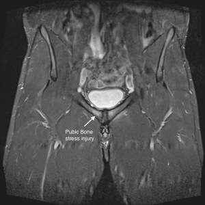
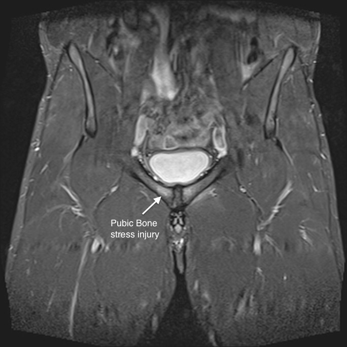
It’s been nearly a week since my visit with Dr. William Meyers at the Vincera institute. My mind has been abuzz with whirling choices since then. Essentially, I need to decide if it’s worth spending $13,000 (at least) on surgery to repair partially detached muscles damaged from moving heavy snow, or live with a bit of discomfort and move on. To try to unmuddy the waters, I think it would help to figure out where I am and where I want to go. But first, consider where I’ve been.
While I have always been somewhat active, it has been about 7 years since I really began to take fitness, and competitive running and triathlon seriously. I have moved through an entire age group since then. I have been fortunate to find myself on the podium on quite a few occasions (usually at running events). I have managed to complete eight half-ironmans, and 1 full ironman. I consider myself very fortunate to have been able to run the Boston Marathon twice. I’ve enjoyed the respect earned of being a fairly fast runner at distances from 5K to 10 Miles. All that said, I’ve never been an especially fast cyclinst or swimmer but adequate enough at both to put together fast enough triathlons to make me happy. 
Since the faithful March snow storm things have changed. To be clear, I do not have a running injury. Running is one of the many things that aggravates the muscle detachment I sustained while move heaving snow, but it is not the cause. Other things that aggravate it include biking, swimming, walking, standing, sitting, driving, mowing the grass (this one more so than any other), and playing ping pong (okay, I haven’t played in years but you get the idea).
The point is, this is a life injury and not a running injury. I can’t just write off running and go do other things. In fact, I have been running, biking, and swimming all along. To the untrained eye, I’ve been doing these things at a fairly substantial level including 20-30 miles of running per week, 20-50 miles of biking per week, and a couple miles of swimming. So what’s the problem you ask? It’s like I’m not even hurt.
Well, there are a few problems. First, the injury is still there. Since cutting back intensity and distances, the amount of pain has subsided to very tolerable levels. I mean, it is at a level where it could be ignored and I could go merrily on through life. But once in a while I get a bit of a twinge to remind me it’s there. This is especially noticeable after 3-4 days in a row of running or if I do a lot of hard yard work involving a lot of twisting, or kneeling. Still, we all get aches and pains as we get older right? Pop a few Ibuprofen now and then and suck it up. Why spend all that money on supposedly “unproven” surgery? 
So let’s discuss what I can’t do. While I have enjoyed a leisurely summer of running and riding without expectations to be fast for say 26.2 miles this fall I’m not sure that is mentally sustainable. I got comments from my running friends all the time saying “It doesn’t seem like it’s ([sic] the injury) slowing you down too much”. To that point, my usual training pace is around an 8:10 mile. Unfortunately, my 10K pace right now would be about an 8:10 mile. 5K pace? 8:10. 400 meter? 8:10. You get the idea. I even have to be careful slowing down. If I drop the pace too much my gait gets a bit awkward and it begins to hurt more. 
Well, 8:10 isn’t a bad pace right? Many people would love to lope along for miles at 8:10. Perhaps the best plan is to just go do destination marathons and stop worrying about going back to Boston. After all, I’ve been there right? Remember I mentioned instensity and distance? I can run that 8:10 pace for about 8 miles or so on a good day. Then it starts to get very hard to continue to lift my left leg. This was very noticeable at Boston this year. It is like my left shoe suddenly weighs 20 lbs. This rules out marathons, half-marathons, or even something like the Army 10 Miler. (A race I’d love to do). 5Ks become a why bother event as well. I’ll never disparage any distance or any runner for doing any distance (such as their first 5K), but as an experienced runner, I know I can do a 5K. I’m used to being on or near the podium for my age group in 5Ks. I don’t really need to pay a lot of money to go trot around for 3.1 miles. Egotistical? Maybe, but it would be mentally more painful to go and know I can’t give my best then to go “participate”. I’d rather just give the money to charity and run slowly around my neighborhood.
For cycling and swimming, just repeat the paragraph above. I’ve had several friends that have dealt with groin injuries that have been able to move on to other sports without problems and not have any pain or discomfort. I think the issue here is that the names sports hernia and athletic pubalgia are really bad names assigned to a plethora of injuries of the core muscles in the groin, abdomen, and back. There are a bunch of moving parts down there and a lot of different things can go wrong. Unfortunately, pills or shots don’t fix most of them so the pharmaceutical industry doesn’t pump big money into the science of these injuries. Every person’s injury can be different. While sharing experiences is certainly worthwhile (especially when there is so little good information available), it is important to get real diagnosis for the specific injury And the specific athlete. 
Option 1: Do nothing. Continue to run, ride, swim, etc. at restrained distances and intensities. Doing enough to keep vaguely in good shape.
Pros: No surgery. Keeping $13,000.00+ in my pocket. Pay someone to mow my grass.
Cons: Never run fast again. Never run another marathon. Deal with some minor pain throughout life. To this point, I did call Dr. Meyers back on Tuesday. They had given me a paper with his cell number. I did not expect him to answer and was pleasantly surprised when he did. We talked for about 15 minutes during which time I asked “what if I do nothing”? His answer was honest in that for now, as I’ve observed, it would probably be tolerable. Than he told me what the athlete and stubborn runner in me already knew. “Your body will compensate and this will likely lead to more difficult or serious injury”. I had read a lot about my type of injury potentially leading to a regular hernia. He immediately said to ignore that and that there is no correlation there.
Perhaps the biggest “con” of doing nothing . . Remember I said I’ve been swimming, biking, and running? All great cardio stuff for the aging body, but what is missing from that equation? Weights and resistance training. The key component to growing older gracefully. Over the winter (until the @#$$^^%@@ snowstorm), like most winters I had a pretty rigorous weekly weight and core routine. But there isn’t a lot of weight and core work I’m willing to try to do now for fear of greater injury.
Lastly, I’m not sure my motivation will last without race goals. Having something to train for provides that motivation to get out of bed at 4:30 in the morning and plow off into the cold rain for a few miles before work.
Option 2: Treat with “conservative treatments” aka therapy, anti-inflammatory medication.
Pros: No surgery. Save money.
Cons: Normally I would be all about this. Except I’ve been unable to find evidence of any therapy protocol that actually works to repair the sort of muscle separation I am dealing with. There are a few limited cases of PT building stronger muscles around the injury area and removing the strain from the injured muscles but it can’t fix the actual damage. There also is not any clearly defined protocol for the therapy itself. I’ve read every article I can find on non-surgical solutions for athletic pubalgia and have found about 5 successful cases, most involving mostly pro hockey players. In each case, the nature of the injury was unclear and they did therapy for the symptoms. And when I say “did therapy” picture 5 days a week of full time therapy with trainers, massage, coaches, and all the time and equipment readily available to a professional athlete including someone to do things like mow the lawn, and go buy groceries. In the case of the non-pro athlete, it was a high school football player. I couldn’t help but think “So, they’ll get him through one year or so of sports and then, like most high-school football players, that’s probably the end of his pursuit of athletics”. One doesn’t need healthy groin muscles to spend the rest of their days reflecting back on the glory of Friday night under the lights. Even in Cigna’s own policy, they cite studies used to decline coverage of surgery for athletic pubalgia. In these studies groups of athletes that tried “more conservative approaches” were unsuccessful in recovery and many wound up having the surgery and being successful.
Option 3: Pony up the bucks and get the surgery.
Pros: I’d be fixed. (Perhaps I could have picked better wording here.) There are skeptics out there including me. In the back of my mind I’m thinking “what if I spend this money and it doesn’t really work”? But then I realize I’d be no worse off then I am now and at least I’d have tried what appears to be the only viable solution. The surgery is not major. It’s 45 minutes of laparoscopy with 6 weeks of recovery and far less than that to return to normal daily activities. When I spoke with the doctor on Tuesday one of the questions I asked was what was the likelihood of recurrence of the injury? “Less than 1%”. Damn. That’s pretty good especially considering many of the folks undergoing this surgery are professional athletes who aren’t going on to pussyfoot around the injury.
Here are just a few of the folks that Dr. Meyers has done this same surgery for. Although I’m guessing $13000.00 wasn’t a hardship for any of them.




Cons: Someone would be cutting me open.
$13,000.00 is a lot of money and insurance isn’t covering it. Or is it? You see, my employer thinks our insurance is really easy to use. It really isn’t bad coverage, it’s just confusing. I’m sure if you are based in the corporate headquarters, every provider in the region is familiar with it. But we are self-insured using a couple networks behind the scenes for pricing. And that last sentence is the key. When I call a new doctor office and they ask about insurance, I find it easier to just say I have Cigna because that is the network that our insurance uses for pricing. But that is not who provides coverage as I was reminded when I called our health plan folks last week to find out if there was anything I could do to get part of this surgery covered. I related the story and was told that as far as she knew there were no such exclusions within our plan. Marcia from Dr. Meyers’ office hadn’t called to ask about coverage of the surgery, but only to get the MRI’s approved. She had just assumed it would be Cigna’s policy. This was my fault, because I had told her I have Cigna insurance. So, the procedure and diagnosis codes, along with relevant findings from Monday have been faxed to my insurance provider. I am waiting rather impatiently to find out if I’d get some help. If I learn that they will cover out-of-network at 60/40, this becomes a much, much easier decision.
Option 4: I’ll bet you didn’t know there was an option 4 did you?
There sort of is. One thing that occurred to me is that while we ruled out the slight labrum tear in the left hip as a contributor to the groin pain, there is still some pain caused by that and it is still another injury. While on the phone with Dr. Meyers on Tuesday I asked if he felt I should do anything about that? He said it could be repaired at the same time if I wanted. Left untreated it could contribute to other problems down the road including contributing to needing hip replacement. So even though this is not a factor right now, it is another consideration. We didn’t discuss how the labrum repair might effect recovery time, etc. If I go the surgery route my decision around the labrum repair will depend on scheduling (another doctor is involved), recovery, and so forth. Also, whether insurance is paying anything will play a factor. The labrum repair is probably covered.at least partially. If the athletic pubalgia repair is not, and I get them done at the same time, things could get dicey monetarily speaking.
Option 5: The hits just keep on coming.
I call this the nuclear option. If I am completely denied by insurance, it becomes clear they really don’t want me to be active and healthy. In this case, I may exercise what I like to call the couch potato plan. Under this scenario, I will revise my plans to retire from the corporate world early and endeavor to cost my health insurer as much money as possible by becoming a sloth, eating fast food and ice cream for every meal, and perhaps taking up smoking. Doing so I can garner all the health expenses that go along with such a lifestyle. Oddly, as I voluntarily become diabetic, develop heart disease, and bad knees from being overweight, as well as perhaps some form of cancer, insurance will happily churn out one check after another to pay for my poor lifestyle choices. What an awesome system. 
If you are still with me, thanks for reading what I consider to be possibly my most boring blog post ever. But it helped me a lot to think through these choices as I wrote them down. Stay tuned for decisions or maybe I’ll actually post something fun the next time.



I told my husband about this and we had a long chat about what we would do. It is a tough situation to be in. Both of us are active people and we know how hard it would be to not do things the way we enjoy them. We are also self employed and already pay for insurance out of pocket and a lot extra out of pocket. So those bills are always killers. When I was 14 I had a bad skating injury. Once it healed I could have gone on about life as normal but I couldn’t have continued skating. Thank goodness my parents gave me the chance and let me do the surgery option. Its a bummer that we have to make such decisions. You are definitely in my thoughts!